В Украине зафиксировано 13 случаев опасного метапневмовируса: кто в зоне риска

277

Метапневмовирус человека (HMPV) вызывает заболевания верхних и нижних дыхательных путей, особенно среди детей, пожилых людей и лиц с ослабленной иммунной системой. Об этом сообщает заведующая кафедрой инфекционных заболеваний Национального медицинского университета имени Богомольца Ольга Голубовская.

Этот вирус, обнаруженный еще в 2001 году, принадлежит к семейству Pneumoviridae и является близким родственником респираторно-синцитиального вируса (RSV).

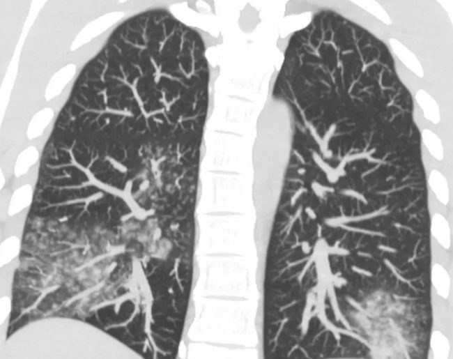
Согласно данным Центра общественного здоровья, в Украине с начала сезона зарегистрировано 13 подтвержденных случаев заражения, хотя реальное количество может быть выше. При этом в Китае больницы уже переполнены. Заражение происходит капельным путем, а инкубационный период длится от 3 до 6 дней. Заболевание может быть как легким, так и тяжелым, иногда приводит к развитию фульминантной дыхательной недостаточности, особенно у людей с ослабленным иммунитетом.

Симптомы напоминают грипп, RSV и Covid: лихорадка, головная боль, насморк и кашель. В настоящее время зафиксирован значительный рост заболеваемости. Вирус преимущественно поражает детей до 14 лет, вызывая высокий уровень госпитализаций.

Эксперты считают, что пандемия COVID-19 повлияла на изменение иммунного ландшафта, что способствовало активизации новых вирусов, в частности метапневмовируса. После длительных локдаунов и ограничений наша толерантность к широкому спектру инфекций ослабла, что привело к вспышкам болезней, таких как RSV и HMPV.

Чтобы уменьшить риски заражения, специалисты рекомендуют регулярно мыть руки, избегать близких контактов с больными, проветривать помещения и соблюдать общие правила гигиены. В случае появления симптомов респираторного заболевания, особенно среди групп риска, врачи советуют провести тестирование на HMPV и другие респираторные инфекции, такие как грипп и COVID-19.

Особое внимание следует уделять людям, которые находятся в группе риска, и своевременно диагностировать заболевания. В частности, врачи рекомендуют измерять уровень сатурации крови пульсоксиметром, чтобы своевременно выявить признаки дыхательной недостаточности.